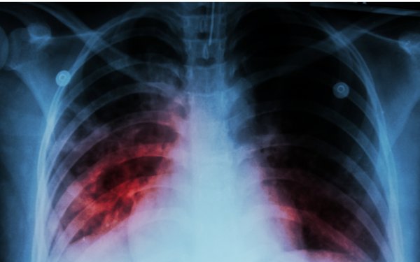
Ötən il 198 uşaq və yeniyetmə vərəmə yoluxub
Ötən il 198 uşaq və yeniyetmə vərəm xəstəliyinə yoluxub.
Bunu Səhiyyə Nazirliyi Elmi Tədqiqat Ağciyər Xəstəlikləri İnstitutunun direktoru İradə Axundova deyib.
O bildirib ki, 2024-cü il üçün bu göstərici 278 olub.
"2015-ci ildə hər 100 min nəfərə düşən vərəmlə xəstələnmə göstəricisi 41,1 olduğu halda, 2025-ci ildə bu rəqəm 21,5-ə enib. Vərəm xəstələrinin təxminən üçdə ikisini kiş...